Dr Shobhit Bansal's Gallery of Botched All on 4
Portfolio for Shobhit Bansal at Dental Arts of Huntley IL

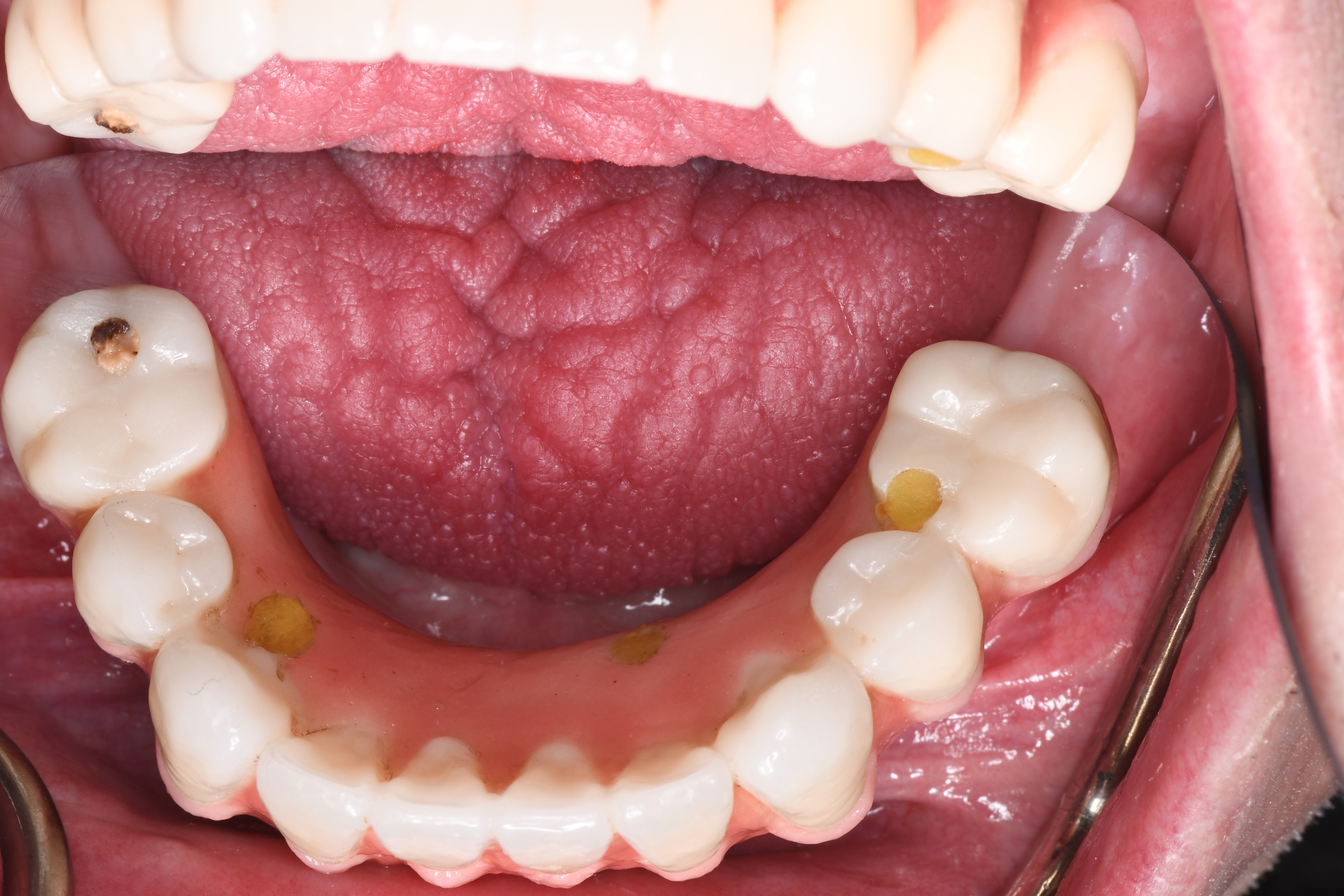
012/Lower Zirconia Prosthesis Overhead View

Previous | Home | Next

Overhead view of the lower prosthesis. The experts said the placements of these implants creates all sorts of uneven pressures on the implants, the prosthesis, and my jawbone.

The molars on the lower temporary prosthesises kept breaking off at the screw holes on both sides of my mouth, it happened several times. Then Bansal sneakily removed the molars from the design on the last set of temporary teeth, as described here

Dr Shobhit Bansal at Dental Arts of Huntley IL - A Dentist Who Damages Patients Then Makes You Uncomfortable In The Chair To Make You Go Elsewhere - No Matter What Goes Wrong Shobhit Bansal Will Tell You It's Normal and Happens All The Time - Shobhit Bansal Does Not Honor His So Called Warranty - Shobhit Bansal Will Take Your Money, Never Admit When He Makes A Mistake, and Will Downplay or Deny Problems No Matter How Many Experts Say Otherwise - Several top dental experts said Bansal's All on X that he did to me was one of the worst botched procedures they've ever seen   *  

Previous | Home | Next

top of page