Dr Shobhit Bansal's Gallery of Botched All on 4
Portfolio for Shobhit Bansal at Dental Arts of Huntley IL

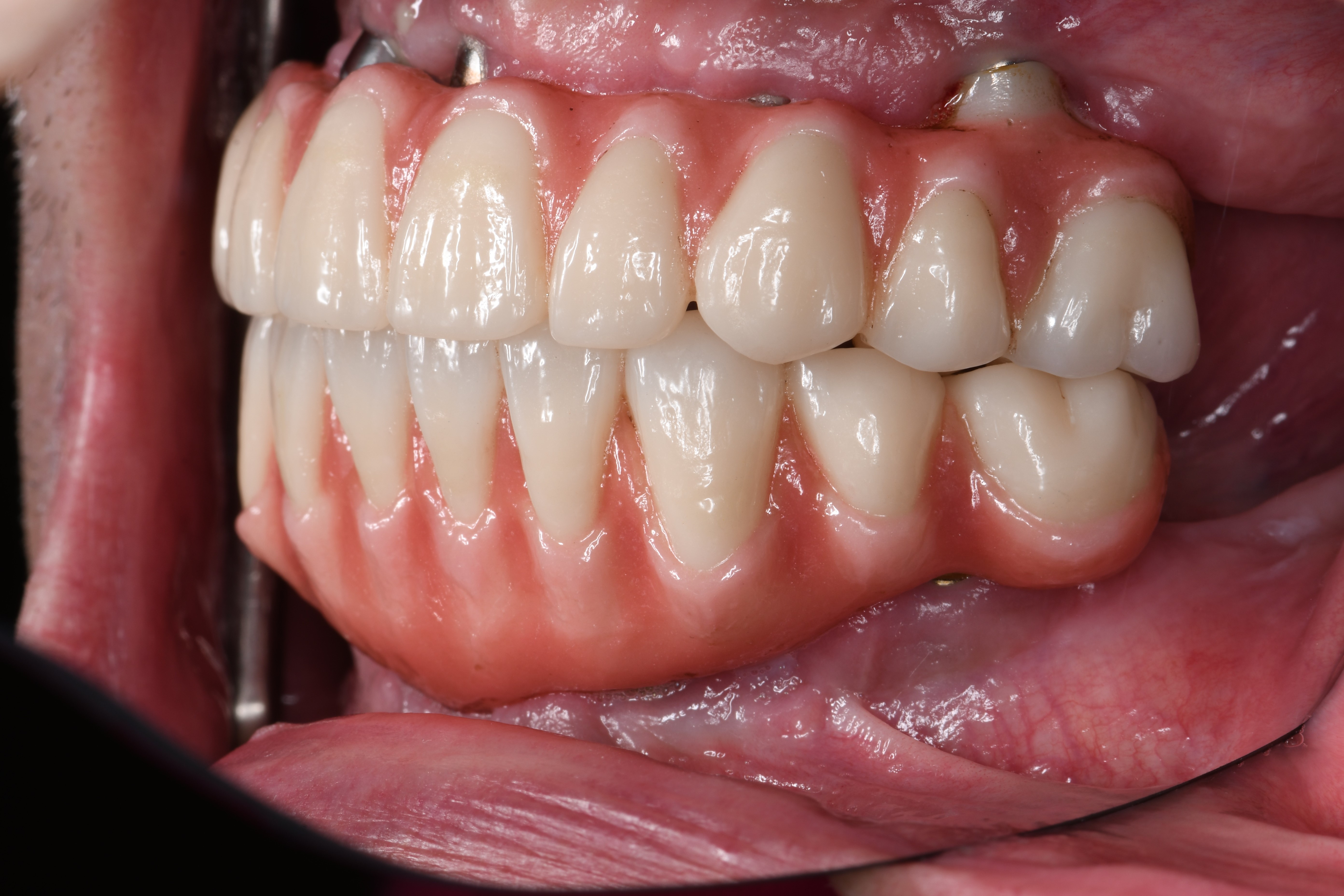
004/Left Side Teeth Mismatch

Previous | Home | Next

View of the left side with teeth closed. This particular side view does not look as bad as it actually is, but when the dental experts checked the teeth with dental articulating paper there was very little area of contact between the teeth.

Dr Shobhit Bansal at Dental Arts of Huntley IL - A Dentist Who Damages Patients Then Makes You Uncomfortable In The Chair To Make You Go Elsewhere - No Matter What Goes Wrong Shobhit Bansal Will Tell You It's Normal and Happens All The Time - Shobhit Bansal Does Not Honor His So Called Warranty - Shobhit Bansal Will Take Your Money, Never Admit When He Makes A Mistake, and Will Downplay or Deny Problems No Matter How Many Experts Say Otherwise - Several top dental experts said Bansal's All on X that he did to me was one of the worst botched procedures they've ever seen   *  

Previous | Home | Next