Dr Shobhit Bansal's Gallery of Botched All on 4
Portfolio for Shobhit Bansal at Dental Arts of Huntley IL

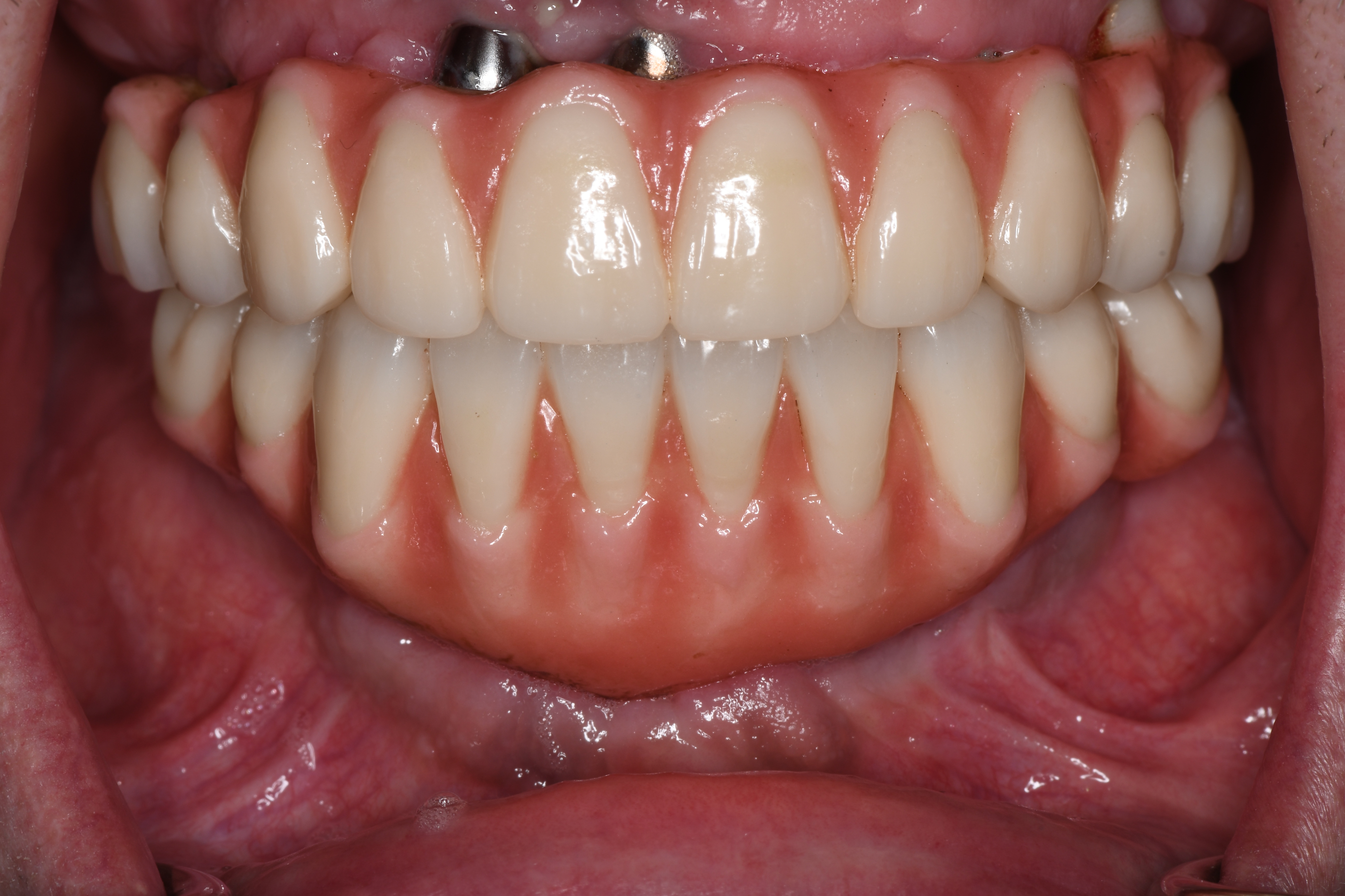
005/Frontal View of Teeth Closed

Previous | Home | Next

A frontal view of the teeth with the teeth closed. You can can see how the back teeth are out of alignment, and you can also see that some of the implants need gum grafts to bury the implants properly.

You can also see the huge height of the lower prosthesis artificial gum in the center of my lower jaw. Bansal mangled my jawbone, which will be detailed in another page.

There was nothing wrong with my lower jaw before Bansal did surgery. I had lower teeth except I was missing left side teeth after the left cuspid tooth #27. Bansal convinced me that it would be much better if he pulled all my bottom teeth so that he could provide "perfectly matching upper and lower teeth".

But just look at what Bansal did to me instead.

I was missing some of the back lower teeth on the right side so I would have needed two bridges, which Bansal told me would not have worked out as well as making a complete lower zirconia arch.

Dr Shobhit Bansal at Dental Arts of Huntley IL - A Dentist Who Damages Patients Then Makes You Uncomfortable In The Chair To Make You Go Elsewhere - No Matter What Goes Wrong Shobhit Bansal Will Tell You It's Normal and Happens All The Time - Shobhit Bansal Does Not Honor His So Called Warranty - Shobhit Bansal Will Take Your Money, Never Admit When He Makes A Mistake, and Will Downplay or Deny Problems No Matter How Many Experts Say Otherwise - Several top dental experts said Bansal's All on X that he did to me was one of the worst botched procedures they've ever seen   *  

Previous | Home | Next

top of page