Dr Shobhit Bansal's Gallery of Botched All on 4
Portfolio for Shobhit Bansal at Dental Arts of Huntley IL

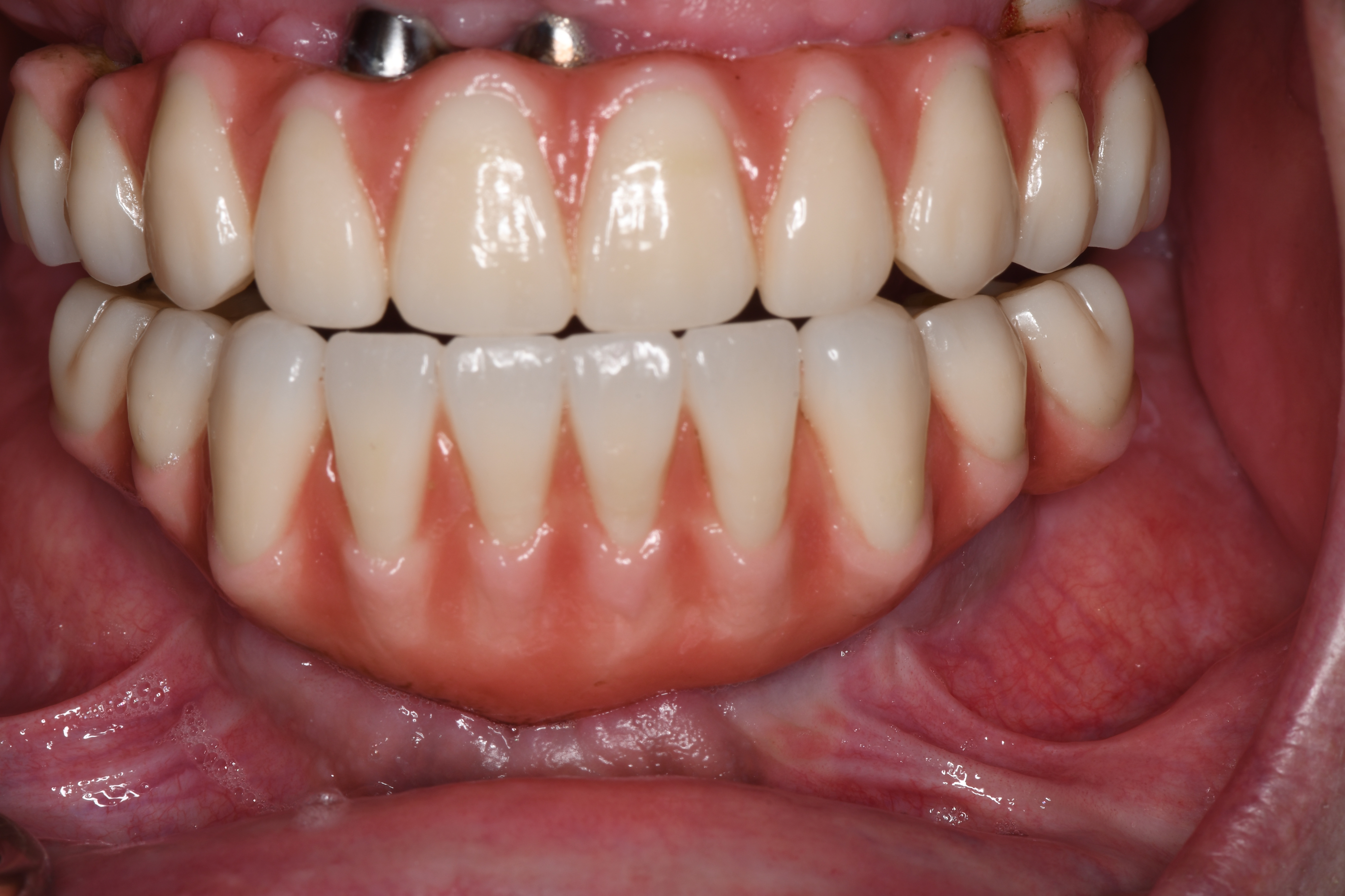
006/Another Frontal View of Teeth

Previous | Home | Next

A frontal view of the teeth with the teeth almost closed. You can see how big the gaps are between top and bottom teeth towards the back on both sides, and you can see that some of the implants need gum grafts to bury the implants properly.

You can also see the huge height of the lower prosthesis artificial gum in the center of my lower jaw. Bansal mangled my jawbone.

Dr Shobhit Bansal at Dental Arts of Huntley IL - A Dentist Who Damages Patients Then Makes You Uncomfortable In The Chair To Make You Go Elsewhere - No Matter What Goes Wrong Shobhit Bansal Will Tell You It's Normal and Happens All The Time - Shobhit Bansal Does Not Honor His So Called Warranty - Shobhit Bansal Will Take Your Money, Never Admit When He Makes A Mistake, and Will Downplay or Deny Problems No Matter How Many Experts Say Otherwise - Several top dental experts said Bansal's All on X that he did to me was one of the worst botched procedures they've ever seen   *  

Previous | Home | Next

top of page