Dr Shobhit Bansal's Gallery of Botched All on 4
Portfolio for Shobhit Bansal at Dental Arts of Huntley IL

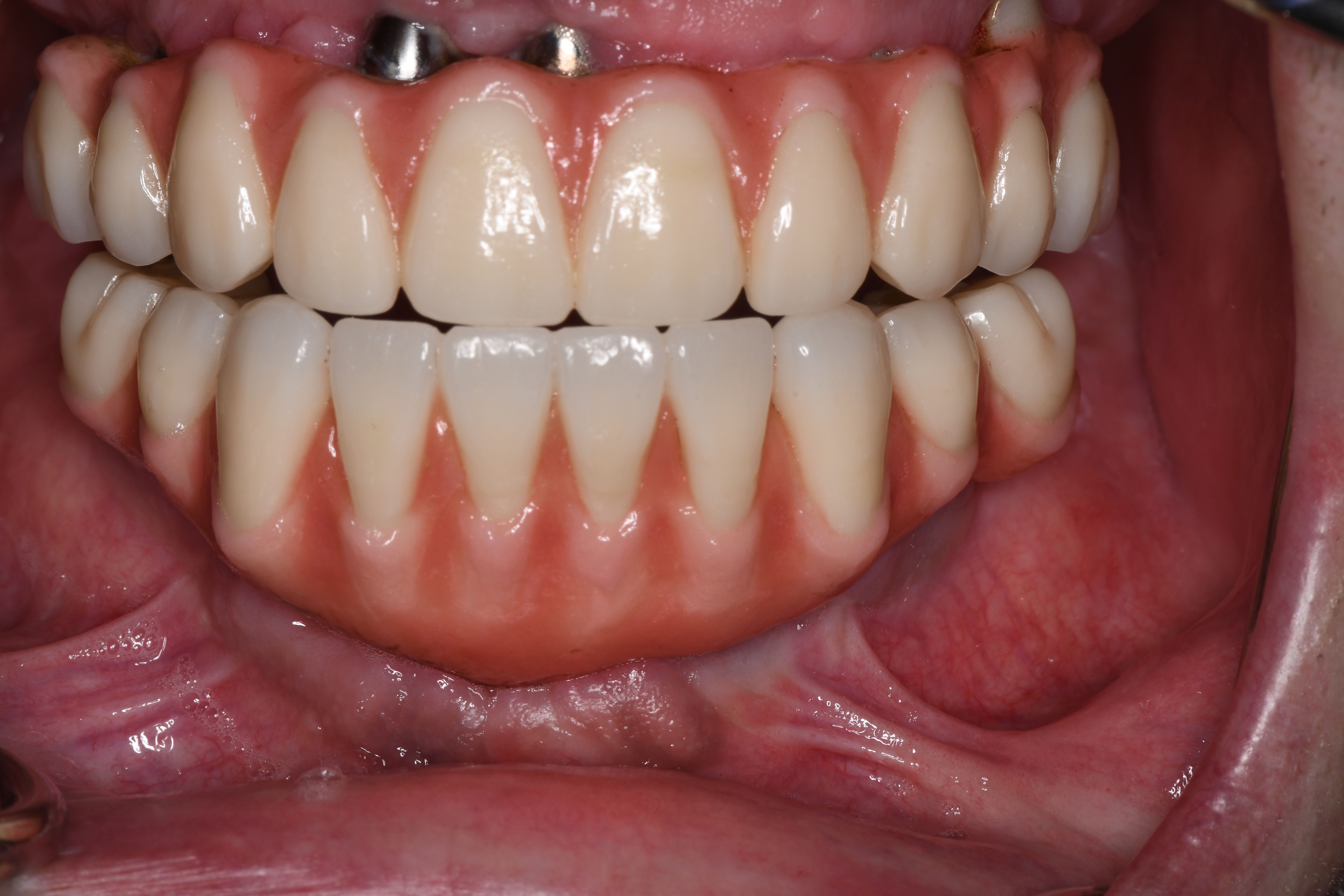
007/Front View of Teeth Mismatches

Previous | Home | Next

A frontal view of the teeth with the teeth almost closed. You can see how the left side is worse than the right, and you can see that some of the implants need gum grafts to bury the implants properly.

Dr Shobhit Bansal at Dental Arts of Huntley IL - A Dentist Who Damages Patients Then Makes You Uncomfortable In The Chair To Make You Go Elsewhere - No Matter What Goes Wrong Shobhit Bansal Will Tell You It's Normal and Happens All The Time - Shobhit Bansal Does Not Honor His So Called Warranty - Shobhit Bansal Will Take Your Money, Never Admit When He Makes A Mistake, and Will Downplay or Deny Problems No Matter How Many Experts Say Otherwise - Several top dental experts said Bansal's All on X that he did to me was one of the worst botched procedures they've ever seen   *  

Previous | Home | Next

top of page