Dr Shobhit Bansal's Gallery of Botched All on 4
Portfolio for Shobhit Bansal at Dental Arts of Huntley IL

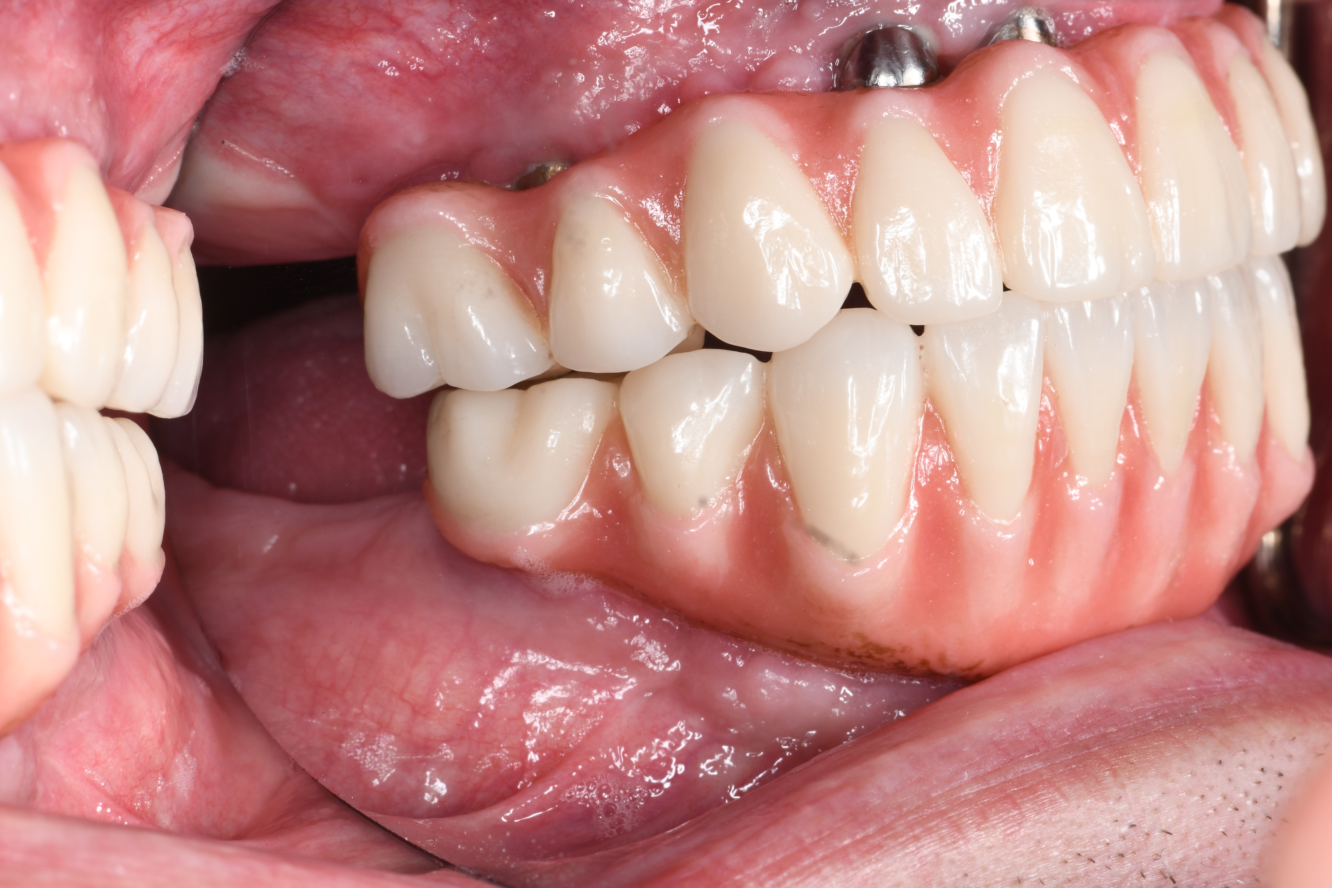
008/Right Side Open View

Previous | Home | Next

View of right side with teeth open. The dental expert used a special mirror to capture how far the teeth are out of alignment. In this view the mismatch is not obvious, but the terrible mismatch is quite apparent when you view the image at image 003/Terrible Mismatch of Teeth Right Side

Dr Shobhit Bansal at Dental Arts of Huntley IL - A Dentist Who Damages Patients Then Makes You Uncomfortable In The Chair To Make You Go Elsewhere - No Matter What Goes Wrong Shobhit Bansal Will Tell You It's Normal and Happens All The Time - Shobhit Bansal Does Not Honor His So Called Warranty - Shobhit Bansal Will Take Your Money, Never Admit When He Makes A Mistake, and Will Downplay or Deny Problems No Matter How Many Experts Say Otherwise - Several top dental experts said Bansal's All on X that he did to me was one of the worst botched procedures they've ever seen   *  

Previous | Home | Next

top of page